Invisalign® Helpline

We Are Now Offering FREE Virtual Consultations

[headline]

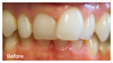
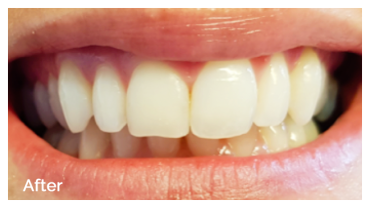
Looking for a more confident smile? Do you have twisted, crooked or overlapping teeth? We can help. Invisalign® is the invisible way to straighten your teeth, without unsightly braces.

A smile can change everything; your confidence, your outlook, your life. And with Invisalign®, achieving the smile you always dreamt of doesn't have to be a big deal. In fact, it barely has to impact your day–to–day life at all.

0% Interest Free Finance Available

Shortlisted Dentist Of The Year

We have been Shortlisted!

Claim your £100* discount and FREE teeth whitening today!

Tell us how we can help you and request your FREE invisalign® consultation. Find out about the treatment and whether it will work for you.

We respect your privacy. We store personal data securely and will not share your details with any 3rd party.

Top 1% Of Invisalign Providers

100% of patients said they would recommend us **

90% of patients said their treatment was pain free **

0% Interest Free payment plans available

Over 10 years invisalign® experience

The Solution

Invisalign® straightens teeth using a series of nearly invisible, removable aligners that are custom–made specifically for your teeth. As you replace each aligner every two weeks, your teeth will move - little by little, week by week, gradually moving towards the projected final position.


Comfortable, clear and removable - Invisalign® transforms your smile without disrupting your life. Something that over 3 million people worldwide have already discovered.


Invisalign can cure most cases within 12 months leaving you with a straighter smile and much more confidence.

What happens at your FREE consultation

Your Invisalign® consultation will take place at our Milton Keynes* practice.


We take a scan of your mouth with our iTero 3D digital scanner and show you a simulated outcome of your invisalign® treatment. This gives you a sneak peek at your new smile.


The consultation is of an informative and friendly nature. You will have the opportunity to ask as many questions as you wish.


You will not be put under any pressure to proceed. We want you to be happy with the procedure and for you (and us) to be sure that it is right for you. We will inform you of possible alternative options.


We will present costs and payment options transparently, including our 0% Interest Free Financing options.


Evening or weekend appointments are available for your convenience.

* we have practices in alternative locations which may be closer and more convenient for you. Please ask for details.

Testimonials

"Had my consultation with Dr Jai today and it went perfectly, even more excited to start my treatment. I was reassured and had all my questions answered honestly. 100% recommend, really friendly and professional place."

"Very friendly, informative and offer great patient experience. You are not put under any pressure and treatment options are explained clearly."

"As soon as I stepped into the room and sat in the chair I instantly felt calm and relaxed. Dr Jai listened to my worries about my smile and showed me how easy it would be to have them fixed."

"Invisalign has changed my life. I didn’t realise how much my crooked teeth affected my confidence until after my treatment. I feel like a new person and can’t stop smiling."

Straight teeth without unsightly braces

Claim your £100* discount and FREE teeth whitening today!

Request your FREE and friendly Invisalign® consultation now.

Treatment process

Step one

Using the iTero Element scanner, your invisalign® doctor takes a fast and precise 3D digital scan of your teeth.

Step two

Your invisalign® doctor then maps out a custom treatment plan just for you, based on a highly accurate digital treatment simulation.

Step three

The aligners are then fitted, and review appointments are routinely 8 - 10 weeks apart.

Step four

Once the treatment is completed, the patient is issued with a set of retainers for ongoing maintenance.

0% Interest FREE Payment Plans

  We offer easy payment plans, bespoke to your needs.

Spread payments for up to 3 years.

✔  Make your treatment easily affordable.

✔  No need to pay each time you visit.

Meet Doctor Jai

Dr Jai qualified from the prestigious Barts and The London Dental Institute, and after working in the Midlands, Oxford and Bedford he became the principal dentist and Invisalign provider at Broughton Dental Practice in 2017. Dr Jai's main focus is making people smile especially with Invisalign. His other special interests include Cosmetic Dentistry and Implant Dentistry, having completed several prestigious courses in London including the Royal College of Surgeons.


Dr Jai's philosophy is to provide long lasting, highly aesthetic and functional treatments to enhance and maintain your smile.


Dr Jai enjoys offering fast and discreet techniques to help straighten your crooked teeth and has been offering Invisalign for almost 10 years consistently achieved excellent results for my patients.


Furthermore, he continually attend courses to keep up to date with the latest techniques in dentistry. In fact Dr Jai was recently awarded a postgraduate certificate in Dental Education to help with his teaching, which he thoroughly enjoys.


Dr Jai recently achieved the Elite Apex award from Invisalign® which puts him in the top 1% of Invisalign providers in the country.


Jai Basudev B.D.S (London) Pg Cert DentEd – Principal GDC number 103581

Location and contact details

Address: 57-61 Tanfield Lane, Broughton, Milton Keynes, MK10 9NJ

Phone (24/7): 01908 241 000

E-Mail: admin@broughtondental.com

Claim your £100* discount and FREE teeth whitening today!

Tell us how we can help you and request your FREE invisalign® consultation. Find out about the treatment and whether it will work for you.

We respect your privacy. We store personal data securely and will not share your details with any 3rd party.

   0% Interest Free Finance available

   Shortlisted dentist of the year

   100% of patients said they would recommend us **

   90% of patients said their treatment was pain free **

✔   Over 10 years invisalign® experience


Copyright© Broughton Dental Practice. All rights reserved.

* £100 discount is available for full lower and upper jaw Invisalign® treatment.

** Each month we survey our patients. 100% said they would refer us to family or friends and 90% said their treatment was pain free.


01908 082371